矯正歯科
初回のご相談から治療終了まで、不安や疑問を丁寧に解消しながら進めてまいります。
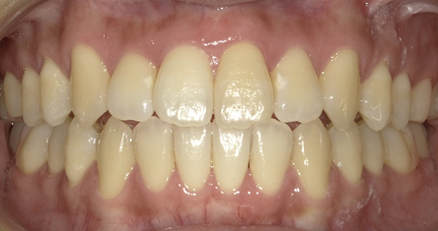
歯並びをきれいに整えるだけでなく、噛み合わせの改善を通じて将来的なむし歯・歯周病の予防にもつなげます。
成長期のお子さまには顎の発育を考慮した治療を、大人の方にはライフスタイルに合わせた最適なプランをご提案いたします。
矯正治療を専門とする歯科医師が、豊富な経験と最新の知見をもとに一人ひとりに合わせた治療をご提供いたします。
美しく調和のとれた歯並びは、笑顔に自信をもたらし、人生を上質に彩る力があると私たちは考えております。

矯正歯科は歯並びや噛み合わせが悪い不正咬合(ふせいこうごう)などを治療する診療科です。
「歯並びを治したい」という目的は、見た目の改善が大きな要素を占めますが、矯正治療はそれ以上のメリットをもたらしてくれます。見栄えがきれいになることに加え、しっかり噛むことができるようになるため、食べ物の消化を効率的にしたり、歯みがきもきちんとできるようになるため、むし歯や歯周病にかかりにくくなったり、正しい発音でしゃべることができるようにもなります。
不正咬合はお子さんの成長に悪影響を与え、放っておくと顎(あご)の痛みや発音の悪さ、肩こり・頭痛など身体の不調の原因にもなります。よい歯並びや嚙み合わせは、健康的な生活を送るうえでとても大事なことです。ご自身やお子さんで、歯並び・噛み合わせに関してお悩みがある方は、ぜひ一度、気軽にご相談ください。
歯並びや噛み合わせは健康的な生活を送るうえで非常に大切なものです。気になることやお悩みがありましたら、些細なことでも気軽にご相談ください。
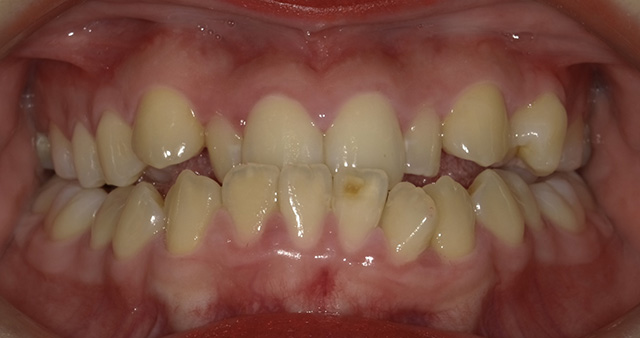
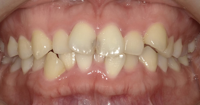
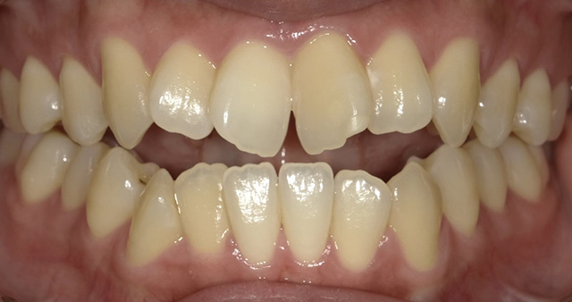
上顎(じょうがく)の糸切り歯(犬歯)が歯並びから飛び出している状態を八重歯(やえば)といい、歯並びが凸凹(でこぼこ)になっている状態を、乱ぐい歯といいます。これらは歯並びが悪い状態を指し、叢生(そうせい)とも呼ばれています。顎(あご)が小さいと歯が生える十分なスペースがないため、歯と歯が重なり合って、叢生が生じると考えられています。叢生は、歯みがきの時に歯ブラシが届きにくく、歯と歯の間に食べかすがたまり、むし歯や歯周病が起こりやすくなります。
上顎の前歯が前に傾斜していたり、歯が前に突き出していたりする状態で、一般的に「出っ歯」と呼ばれています。見た目の問題や発音障害が生じるほか、口をしっかり閉じられないことで、口呼吸が習慣となり、口腔内の乾燥によりむし歯や口臭が起こりやすくなります。また、顔のけがで前歯を折ったり、唇を切ったりしやすくなります。噛み合わせにより、下の前歯が上の前歯の裏側の歯ぐきを傷つけてしまうこともあります。
下顎(かがく)が上顎より前に突き出ている状態のことで、噛み合わせが反対になるので「反対咬合」とも呼ばれています。上下の前歯の傾きに問題がある場合と、下顎が大き過ぎたり、上顎が小さ過ぎたりする場合とがあります。顎の大きさが原因の場合、顎の骨の成長の目途がつくまで、経過を追っていく必要があります。うまく噛めないという症状だけでなく、聞き取りにくい話し方(発音)になることも少なくありません。一般的な歯科矯正では、歯の移動によって治療を行いますが、骨格異常や噛み合わせのずれが大きい場合は、外科手術が検討されることもあります。
上下の前歯がきちんと咬み合わない状態のことをいいます。前歯で食べ物をうまく噛み切ることができないだけでなく、正しく発音ができなかったり、咀嚼(そしゃく)がうまくできなかったりということも特徴として挙げられます。小さな頃の指しゃぶりや舌で歯を押す舌癖、遺伝的な問題も原因といわれています。
歯と歯の間にすき間ができている状態で、口元を開いたときに目立つという見栄えの問題だけでなく、隙間に食べ物が挟まりやすくなったり、サ行やタ行が発音しにくくなったりします。小さなすき間であれば、比較的容易な処置で改善することができます。
顎の関節とその顎に関連する筋肉(咀嚼筋)の病気です。「顎が思い通りに動かずに、食べ物が噛みにくい」、「顎を動かすとカックン、コッキンといった不快な音がする」、「痛みで口が開かない」といった症状が認められますが、さらに顎だけでなく、偏頭痛や肩こり、腕や指のしびれ、鼻や耳にも不快感が生じることもあります。原因としては、ストレスを含む精神的な要因、噛み合わせの異常、夜間の歯ぎしりやくいしばり、頬杖(ほうずえ)などの癖、解剖学的な問題などが考えられています。
症状は多岐にわたり、軽度から重度まで個人差が大きいという特徴がありますが、重い症状の場合、放置すると進行して顎の機能が破壊されてしまうこともまれにあります。症状があればお早めの受診をお勧めします。
噛み合わせが悪いと、お口まわりの筋肉や顎の骨の成長に悪影響を及ぼすことがあります。また、成長期に歯並びが悪いと、骨格にも影響を及ぼし姿勢が悪くなってしまうこともあります。
お子さんの矯正治療は、こうした成長過程で生じる様々な悪影響を回避し、お口を正しく成長・発育させるための治療です。
矯正治療には、6~12歳の間に行う初期治療(一期)と、永久歯が生え揃った後の本格治療(二期)があります。二期治療は大人の矯正と同様ですが、一期治療は個々の成長に合わせて土台からしっかり整える矯正を行います。顎の成長を適正にしていくとともに、正しい歯並びや噛み合わせを誘導していきます。
まずは、お口の状態を見せていただき、一人ひとりのお子さんに適した治療プランをご提案させていただきます。お子さんのお口のことで気になることがありましたら、お気軽にご相談ください。
現在の矯正歯科の治療技術は進歩しており、成人の方でも無理なく矯正治療を行えるようになっています。確かに、お子さんの方が成長期にあるためスムーズに治療を行うことができますが、成長期以降の成人の方でも、多少時間はかかるものの、歯並びや噛み合わせのお悩みを解決することは可能です。矯正の大きな目的には、見た目のコンプレックスの解消がありますが、そのほかにも、きれいな歯並びになることで、歯みがきがしやすくなり、むし歯や歯周病の予防につながります。また、噛み合わせが整うことで、筋肉や顎関節、歯周組織に余計な負担をかけずにすみ、全身の健康にもつながります。
事前の問診とカウンセリングにて、ご要望を伺い、種々ある矯正法のメリット・デメリットをお伝えしたうえで、患者さん一人ひとりに適した治療法をご提案いたします。お気軽にご相談ください。
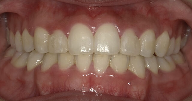
健康的で美しい口元になって、明るい笑顔で毎日を過ごしましょう!
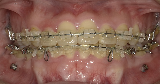
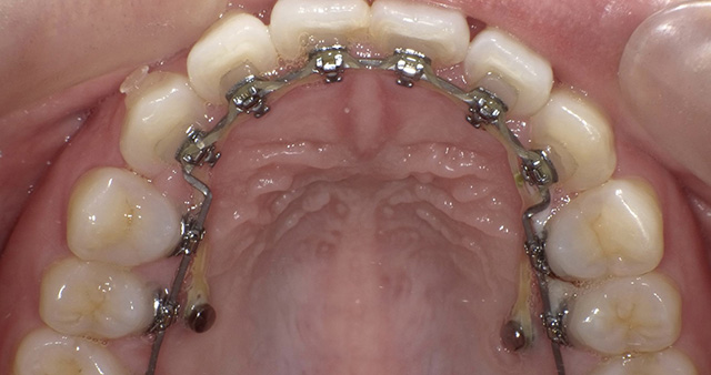
歯の表面にワイヤーとブラケットと呼ばれる固定装置を装着して歯列を整えていく方法で、歯列矯正の中で最も広く行われています。数ミリ単位で歯の移動が可能です。
最近では、歯と同じ色の目立ちにくいブラケットやワイヤーが揃っており、素材を選ぶことで目立ちにくくすることが可能です。
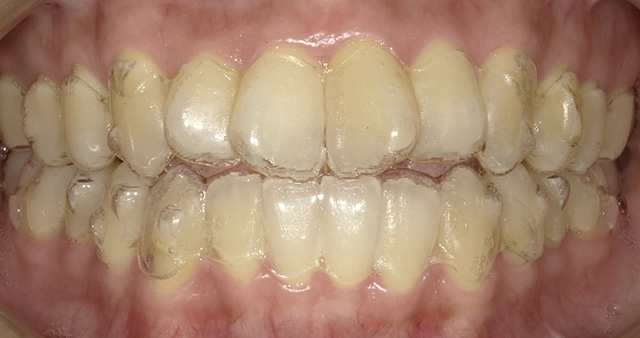
マウスピース型の矯正器具を装着して歯を動かす治療です。マウスピースは透明の医療用のプラスチック製で、目立たず、周囲に気づかれずに治療が受けられるという特徴があります。取り外しが可能で、いつも通りに食事や歯みがきをすることができます。








